Physical Address
304 North Cardinal St.
Dorchester Center, MA 02124
Physical Address
304 North Cardinal St.
Dorchester Center, MA 02124

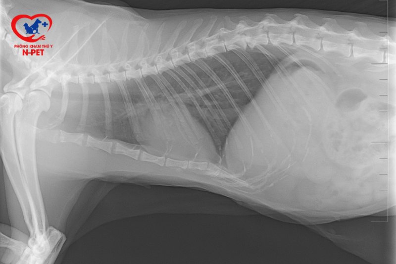
Chụp X quang cho mèo là phương pháp chẩn đoán hình ảnh quan trọng, giúp bác sĩ thú y phát hiện kịp thời các bệnh lý bên trong cơ thể thú cưng như xương khớp, phổi, ổ bụng,… Tuy nhiên, không ít người nuôi mèo băn khoăn chụp X quang cho mèo giá bao nhiêu, quy trình ra sao và có nên thực hiện khi mèo bị bệnh hay không. Bài viết dưới đây sẽ cung cấp bảng giá chụp X quang cho mèo, những lưu ý quan trọng cũng như gợi ý địa chỉ chụp X quang uy tín dành cho thú cưng của bạn.
Chụp X-Quang cho mèo là một dịch vụ cần thiết để phát hiện các bệnh lý tiềm ẩn, như gãy xương hay viêm khớp. Chi phí cho việc này thường dao động từ 250.000 đến 370.000 VNĐ/lần, tùy thuộc vào từng loại hình chụp và kích thước của thú cưng. Nếu mèo của bạn cần chụp X-Quang nhiều góc hay toàn thân, giá có thể tăng lên.
Bên cạnh đó, nhiều phòng khám thú y hiện nay cũng cung cấp dịch vụ này với mức giá từ 300.000 đến 500.000 VNĐ. Chẳng hạn, tại 2Vet, giá chụp X-Quang thường nằm trong khoảng hợp lý, giúp bạn tiết kiệm mà vẫn bảo đảm chất lượng chẩn đoán. Điều quan trọng là chụp X-Quang không gây đau đớn cho sen cưng, do đó bạn có thể yên tâm khi đưa mèo đi khám.
Nếu đang cân nhắc cho mèo đi chụp X-Quang, tốt nhất bạn nên tham khảo giá tại các cơ sở thú y gần nhất. Việc hiểu rõ mức chi phí này sẽ giúp bạn chuẩn bị tốt hơn và đưa ra quyết định phù hợp cho sức khỏe của mèo yêu quý.

Khi bạn cần chụp X-quang cho mèo, giá cả thường dao động từ 250.000 đến 500.000 VNĐ, tùy thuộc vào dịch vụ và độ phức tạp của quy trình. Tại Bệnh viện thú y PetHealth, mức giá có thể thay đổi theo thời gian và từng chi nhánh, nhưng bạn có thể tham khảo giá từ 350.000 VNĐ cho những trường hợp phức tạp.
Nếu mèo của bạn cần gây mê vì không hợp tác hoặc cảm thấy đau đớn, chi phí sẽ tăng thêm. Chụp X-quang giúp bác sĩ chẩn đoán nhanh chóng và chính xác tình trạng sức khỏe của thú cưng. Hình ảnh được chụp sẽ rõ nét, giúp phát hiện các vấn đề mà có thể khó nhận diện bằng mắt thường.
Các phòng khám khác như 2Vet cũng cung cấp dịch vụ chụp X-quang với giá từ 250.000 đến 370.000 VNĐ, tùy thuộc vào loại hình chụp. Việc tìm hiểu kỹ giá cả và dịch vụ sẽ giúp bạn lựa chọn được nơi phù hợp nhất cho mèo yêu của mình. Hãy liên hệ trực tiếp với các phòng khám để có thông tin chi tiết và chính xác hơn nhé!

Giá dịch vụ chụp X quang cho mèo hiện nay thường dao động từ 350.000 đến 500.000 VNĐ, tuy thuộc vào loại dịch vụ và mức độ phức tạp của quá trình. Nếu bạn chỉ cần chụp X quang tổng quát, chi phí có thể từ 150.000 đến 300.000 VNĐ, bao gồm cả thực hiện chụp và phân tích kết quả.
Các cơ sở thú y như PetHealth hay 2Vet có mức giá khác nhau cho dịch vụ này. Tại 2Vet, giá chụp X quang có thể từ 250.000 đến 370.000 VNĐ cho từng lần chụp, tùy thuộc vào số góc chụp và kích thước thú cưng. Điều này đồng nghĩa với việc bạn cần cân nhắc kỹ lưỡng giữa chất lượng dịch vụ và mức giá khi muốn chụp X quang cho mèo.
Đặc biệt, nếu mèo của bạn cần gây mê trước khi chụp, chi phí cũng có thể tăng lên. Vì vậy, hãy hỏi rõ về bảng giá và các dịch vụ kèm theo để có quyết định đúng đắn cho thú cưng của bạn.

Chụp X-quang cho mèo là một dịch vụ thiết yếu giúp bác sĩ thú y chẩn đoán các vấn đề sức khỏe của vật nuôi. Về chi phí, giá chụp X-quang thường dao động từ 250.000 đến 500.000 VNĐ, tùy thuộc vào loại hình dịch vụ và mức độ phức tạp của quá trình chụp.
Nếu bạn muốn chụp X-quang tổng quát, mức giá có thể từ 150.000 đến 300.000 VNĐ, nhưng nếu cần phải gây mê cho mèo trong quá trình thực hiện, giá sẽ cao hơn. Nhiều phòng khám thú y hiện nay cung cấp dịch vụ này với mức giá khá cạnh tranh, do đó bạn có thể tham khảo nhiều nơi để tìm được dịch vụ phù hợp nhất.
Mặc dù có nhiều nơi có mức giá chụp X-quang rẻ hơn, nhưng bạn nên chú ý đến chất lượng dịch vụ và thiết bị để đảm bảo sức khỏe cho mèo cưng. Chụp X-quang cung cấp những thông tin quý giá, giúp bác sĩ đưa ra quyết định điều trị kịp thời và hiệu quả.

Khi mèo của bạn có dấu hiệu bị bệnh, việc chụp X-quang có thể là một bước đi cần thiết. Đây là một công cụ chẩn đoán quan trọng giúp bác sĩ thú y xác định những vấn đề nghiêm trọng như gãy xương, sự hiện diện của dị vật trong cơ thể hoặc các bệnh lý liên quan đến hô hấp. Nếu mèo bạn bị khó thở, chụp X-quang có thể giúp phát hiện ra nguyên nhân phát sinh những triệu chứng đó, chẳng hạn như bệnh tim hay tình trạng phổi.
Quá trình chụp X-quang hầu hết có thể thực hiện mà không cần sử dụng thuốc gây mê, điều này là một ưu điểm lớn, nhất là với những chú mèo không hợp tác. Tuy nhiên, trong một số trường hợp, nếu mèo quá đau hoặc dễ kích thích, bác sĩ có thể cần đến biện pháp an toàn hơn.
Chụp X-quang không chỉ mang lại thông tin quan trọng cho bác sĩ về tình trạng sức khỏe của mèo mà còn giúp bạn theo dõi sự tiến triển của bệnh. Qua đó, việc xác định chính xác và kịp thời sẽ giúp mèo nhanh chóng phục hồi.

Nếu bạn đang tìm kiếm một địa chỉ chụp X-quang cho mèo uy tín, Sông Hàn Pet Clinic tại Đà Nẵng là lựa chọn tuyệt vời. Với đội ngũ bác sĩ dày dạn kinh nghiệm và cơ sở vật chất hiện đại, chúng tôi chuyên cung cấp dịch vụ chụp X-quang chất lượng cao, giúp chẩn đoán các vấn đề về xương, khớp và nội tạng của thú cưng.
Việc chụp X-quang thường được bác sĩ thú y khuyến nghị khi mèo có dấu hiệu đau đớn, gặp tai nạn hoặc nghi ngờ mắc bệnh như nuốt dị vật hay viêm phổi. Ở Sông Hàn, chúng tôi có thiết bị X-quang kỹ thuật số tiên tiến, mang lại kết quả rõ nét và nhanh chóng, hỗ trợ bác sĩ trong việc đưa ra phác đồ điều trị hợp lý.
Ngoài ra, nếu bạn muốn tìm một địa chỉ khác, bệnh viện thú y PETPRO cũng có dịch vụ chụp X-quang với máy móc hiện đại. Với giá cả hợp lý chỉ từ 250.000 đến 370.000 đồng cho một lần chụp, bạn có thể yên tâm chăm sóc sức khỏe cho mèo cưng của mình. Hãy đặt lịch ngay để bảo vệ sức khỏe cho thú cưng nhé!

Chụp X-quang cho mèo là một bước quan trọng trong việc chẩn đoán các vấn đề về sức khỏe, đặc biệt là khi nghi ngờ có gãy xương hoặc chấn thương. Quy trình này giúp bác sĩ thú y đánh giá tình trạng cơ xương và khớp của thú cưng, từ đó đưa ra những quyết định điều trị chính xác.
Trong quá trình chụp X-quang, mèo sẽ được đặt trên bàn chụp, ở một vị trí nhất định để đảm bảo hình ảnh rõ ràng nhất. Để có được hình ảnh chất lượng cao, bác sĩ thường sử dụng công nghệ chụp X-quang kỹ thuật số. Điều này không chỉ giúp đạt độ phân giải tốt mà còn giảm thiểu thời gian chờ đợi cho chủ nuôi.
Trong một số trường hợp, như khi mèo nuốt phải dị vật, bác sĩ có thể yêu cầu chụp X-quang với chất cản quang để quan sát đường tiêu hóa. Thăm khám lâm sàng toàn diện trước khi chụp cũng là một bước cần thiết để xác định chính xác những vấn đề mà thú cưng đang gặp phải. Tuy nhiên, để đảm bảo mèo không cử động trong quá trình chụp, thường cần phải sử dụng thuốc an thần hoặc gây mê.

Khi chuẩn bị chụp X-quang cho mèo, việc đầu tiên bạn nên lưu ý là cho thú cưng nhịn ăn từ 6 đến 8 tiếng trước đó. Điều này giúp hạn chế hơi và thức ăn trong dạ dày, tránh làm mờ hình ảnh, nhất là khi chụp vùng bụng. Sự chuẩn bị này không chỉ quan trọng cho chất lượng hình ảnh mà còn giúp tiết kiệm thời gian cho bác sĩ thú y khi chẩn đoán.
Một yếu tố quan trọng khác là giữ cho mèo của bạn bình tĩnh. Nếu thú cưng quá lo lắng, có thể cần sử dụng thuốc an thần để đảm bảo chúng nằm yên trong suốt quá trình chụp. Bác sĩ thú y sẽ hướng dẫn bạn làm thế nào để hỗ trợ và trấn an mèo, thậm chí bạn có thể ở bên cạnh trong phòng chụp để giữ cho chúng cảm thấy an toàn.
Cuối cùng, việc chụp X-quang không chỉ giúp phát hiện nhanh chóng các vấn đề như vật thể lạ trong bụng, mà còn giúp bác sĩ đánh giá các bệnh lý khác như viêm phổi hay ung thư. Điều này là rất cần thiết để có hướng điều trị phù hợp cho mèo yêu của bạn.

Tổng kết lại, chụp X-quang cho mèo là một quy trình cần thiết và có ý nghĩa quan trọng trong việc chẩn đoán những vấn đề sức khỏe của thú cưng. Mặc dù chi phí có thể dao động từ 500.000 đến 2.000.000 đồng tùy theo từng cơ sở thú y và độ phức tạp của ca bệnh, những khoản chi này là hoàn toàn xứng đáng với lợi ích mà nó mang lại. Đầu tư vào sức khỏe của mèo không chỉ giúp phát hiện sớm bệnh tật mà còn góp phần nâng cao chất lượng cuộc sống cho chúng. Hãy luôn lắng nghe cơ thể của thú cưng và tìm kiếm sự chăm sóc kịp thời khi cần thiết.