Physical Address
304 North Cardinal St.
Dorchester Center, MA 02124
Physical Address
304 North Cardinal St.
Dorchester Center, MA 02124

Lấy cao răng là một trong những dịch vụ nha khoa phổ biến, giúp làm sạch răng miệng và ngăn ngừa các bệnh lý nha chu. Nếu bạn đang sinh sống tại Cần Thơ và có nhu cầu lấy cao răng, việc lựa chọn địa chỉ uy tín, an toàn với mức chi phí hợp lý là điều vô cùng quan trọng. Bài viết dưới đây sẽ cung cấp cho bạn những thông tin chi tiết về dịch vụ lấy cao răng ở Cần Thơ, bảng giá tham khảo, quy trình thực hiện, đánh giá chất lượng các phòng nha cũng như kinh nghiệm lấy cao răng an toàn, hiệu quả tại đây.
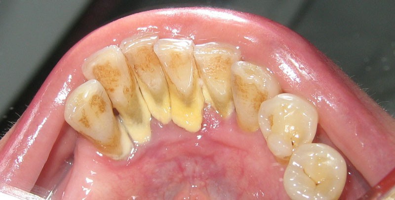
Lấy cao răng là một trong những dịch vụ quan trọng giúp chúng ta giữ gìn sức khoẻ răng miệng. Tại Cần Thơ, có nhiều địa chỉ nha khoa uy tín cung cấp dịch vụ này, trong đó nổi bật là Bệnh Viện Răng Hàm Mặt, Nha Khoa Ninh Kiều, và Nha Khoa Quốc Tế Daisy. Khi nào bạn nên cạo vôi răng? Những dấu hiệu như tụt nướu, hơi thở nặng mùi hay viêm niêm mạc miệng đều cho thấy bạn cần đến nha khoa ngay.
Lợi ích của việc lấy cao răng định kỳ rất rõ ràng. Nó không chỉ giúp duy trì sức khỏe nướu mà còn ngăn ngừa các bệnh lý răng miệng. Những mảng bám hình thành sẽ được loại bỏ, giúp bạn có một nụ cười tự tin hơn. Chi phí cho dịch vụ này tại Cần Thơ thường dao động từ 200.000 đến 500.000 đồng tùy vào tình trạng cao răng của mỗi người.
Đặc biệt, Nha Khoa Phương Châu hiện đang có chương trình miễn phí khám trước khi lấy cao răng, cùng với ưu đãi cho lần tái khám. Đừng quên rằng, cạo vôi răng không đau, và Nha Khoa APEX sử dụng công nghệ siêu âm hiện đại để bạn cảm thấy thoải mái nhất!

Cạo vôi răng là một trong những dịch vụ nha khoa quan trọng giúp duy trì sức khỏe răng miệng. Tại Cần Thơ, có nhiều địa chỉ uy tín mà bạn có thể tham khảo như Bệnh Viện Răng Hàm Mặt Cần Thơ, Nha Khoa Ninh Kiều, hay Nha Khoa Quốc tế Daisy. Những cơ sở này đều có đội ngũ bác sĩ chuyên nghiệp, trang thiết bị hiện đại và cam kết mang đến trải nghiệm tốt nhất cho khách hàng.
Việc cạo vôi răng đặc biệt cần thiết cho những ai gặp phải vấn đề như tụt nướu lộ chân răng, hơi thở nặng mùi hay viêm niêm mạc miệng. Những tình trạng này không chỉ ảnh hưởng đến sức khỏe răng miệng mà còn gây mất thẩm mỹ và tự ti trong giao tiếp.
Ngoài ra, Nha Khoa APEX với công nghệ cạo vôi răng không đau, mang đến sự thoải mái cho khách hàng. Chi phí cạo vôi răng tại các cơ sở này thường dao động từ 200.000 đến 500.000 đồng, tùy thuộc vào tình trạng răng miệng của từng người.
Nếu bạn đang tìm kiếm dịch vụ cạo vôi răng tại Cần Thơ, hãy xem xét việc đặt lịch hẹn tại một trong những địa chỉ trên để duy trì nụ cười khỏe mạnh và tự tin hơn trong cuộc sống hàng ngày!

Nếu bạn đang tìm kiếm địa chỉ lấy cao răng tốt ở Cần Thơ, có rất nhiều lựa chọn chất lượng. Bệnh Viện Răng Hàm Mặt Cần Thơ là một địa chỉ nổi bật, nơi có trang thiết bị hiện đại và đội ngũ bác sĩ chuyên môn cao. Họ cung cấp dịch vụ cạo vôi răng tận tình, giúp bạn có một hàm răng trắng sáng và khỏe mạnh.
Nha Khoa Ninh Kiều và Nha Khoa Lâm Gia cũng là những địa chỉ đáng tin cậy, được nhiều khách hàng đánh giá cao về chất lượng dịch vụ và sự tận tâm của nhân viên. Nếu bạn thích sự sang trọng và hiện đại, Nha Khoa Quốc tế Daisy là lựa chọn không thể bỏ qua với những công nghệ tiên tiến.
Ngoài ra, phòng khám nha khoa Tâm Đức tại số 135G Trần Hưng Đạo là một điểm đến lý tưởng cho những ai muốn trải nghiệm dịch vụ cạo vôi răng chuyên nghiệp. Bác sĩ CKI Nguyễn Hồng Đậm đã có nhiều năm kinh nghiệm và sẽ tư vấn tận tình cho bạn.

Chi phí lấy cao răng tại Cần Thơ thường dao động từ 100.000 đến 700.000 VNĐ. Tùy vào từng tình trạng răng miệng và độ tuổi, mức giá này có thể chênh lệch từ 200.000 đến 500.000 VNĐ cho mỗi lần thực hiện. Một số phòng khám nha khoa như Nha Khoa Sài Gòn Bs Lâm, Nha Khoa APEX hay Bệnh Viện Răng Hàm Mặt Cần Thơ đều cung cấp dịch vụ này với nhiều ưu đãi.
Lợi ích của việc lấy cao răng không thể xem nhẹ. Việc loại bỏ mảng bám giúp bảo vệ sức khỏe răng miệng, ngăn ngừa các bệnh lý như viêm lợi hay sâu răng. Bạn nên thực hiện cạo vôi răng định kỳ để giữ cho hàm răng luôn sạch sẽ và khỏe mạnh.
Nhiều cơ sở nha khoa còn áp dụng công nghệ hiện đại, như việc cạo vôi răng bằng máy siêu âm, giúp quá trình diễn ra nhanh chóng và không đau. Đặt lịch hẹn ngay tại các địa chỉ uy tín sẽ mang lại cho bạn kết quả tốt nhất cho sức khỏe răng miệng.

Lấy cao răng không đau tại Cần Thơ đang ngày càng trở thành nhu cầu của nhiều người. Các cơ sở nha khoa nổi tiếng như Bệnh Viện Răng Hàm Mặt Cần Thơ, Nha Khoa Ninh Kiều hay Nha khoa quốc tế Daisy đều cung cấp dịch vụ này với công nghệ hiện đại. Tại đây, bạn sẽ được trải nghiệm quy trình lấy cao răng an toàn, nhanh chóng và không gây cảm giác khó chịu.
Đặc biệt, Nha Khoa Sài Gòn Bác Sĩ Lâm nổi bật với sự tận tâm và thân thiện trong phục vụ khách hàng. Họ không chỉ chăm sóc sức khỏe răng miệng mà còn mang lại sự thoải mái cho từng khách hàng trong suốt quá trình điều trị. Bên cạnh đó, Nha Khoa APEX cũng áp dụng công nghệ siêu âm tiên tiến, giúp loại bỏ mảng bám hiệu quả và bảo vệ sức khỏe răng miệng.
Nếu bạn đang tìm kiếm một địa chỉ uy tín với chi phí hợp lý, hãy cân nhắc Nha Khoa Phương Châu với chương trình miễn phí khám trước khi lấy cao răng. Chỉ cần gọi đến hotline hoặc đăng ký trực tuyến, bạn sẽ nhanh chóng có cơ hội được chăm sóc răng miệng tốt nhất tại Cần Thơ.

Nếu bạn đang tìm kiếm những địa chỉ lấy cao răng uy tín tại Cần Thơ, có rất nhiều sự lựa chọn chất lượng. Một trong những cái tên nổi bật là Bệnh Viện Răng Hàm Mặt Cần Thơ, nơi cung cấp dịch vụ cạo vôi răng đầy chuyên nghiệp. Ngoài ra, Nha Khoa Ninh Kiều và Nha Khoa Lâm Gia cũng là những địa chỉ đáng tin cậy.
Nha khoa Quốc tế Daisy được biết đến với dịch vụ cao cấp và công nghệ hiện đại. Đặc biệt, Nha khoa ST Dentist là một trong những cơ sở nha khoa thẩm mỹ hàng đầu, nổi bật với sự tận tâm của đội ngũ bác sĩ. Họ không chỉ chăm sóc răng miệng cho khách hàng mà còn tạo cảm giác thoải mái trong suốt quá trình điều trị.
Ngoài ra, Phòng khám Nha khoa Anh Thơ cũng là sự lựa chọn phù hợp với mức giá phải chăng nhưng chất lượng dịch vụ rất tốt. Lấy cao răng tại đây được thực hiện bằng công nghệ hiện đại, đảm bảo không làm tổn hại đến men răng hay mô răng thật, giúp bạn nhanh chóng có được hàm răng khỏe mạnh và sạch sẽ.

Nếu bạn đang tìm kiếm địa chỉ nha khoa để cạo vôi răng tại Cần Thơ, có rất nhiều lựa chọn uy tín. Trong số đó, Bệnh viện Răng Hàm Mặt Cần Thơ và Nha Khoa Ninh Kiều là hai cái tên nổi bật với đội ngũ bác sĩ giàu kinh nghiệm và thiết bị hiện đại. Họ không chỉ giúp loại bỏ mảng bám cứng mà còn tư vấn chăm sóc răng miệng hiệu quả.
Nha Khoa Lâm Gia và Nha Khoa Quốc tế Daisy cũng là những địa chỉ đáng tin cậy, nổi bật với dịch vụ khách hàng tận tình. Đặc biệt, Nha Khoa APEX nổi bật với công nghệ cạo vôi răng siêu âm hiện đại, giúp quá trình này diễn ra không đau và an toàn.
Ngoài ra, đừng bỏ qua Nha Khoa Tâm Đức Smile, nơi cung cấp nhiều dịch vụ nha khoa khác như niềng răng, bọc sứ và tẩy trắng răng. Với sự hỗ trợ của các bác sĩ chuyên khoa, bạn sẽ có được kết quả hài lòng và sức khỏe răng miệng tốt hơn. Hãy lựa chọn cho mình một địa chỉ phù hợp để bảo vệ nụ cười nhé!

Quy trình lấy cao răng tại Cần Thơ là một bước quan trọng trong việc duy trì sức khỏe răng miệng. Các cơ sở nha khoa uy tín như Bệnh Viện Răng Hàm Mặt Cần Thơ, Nha Khoa Ninh Kiều, và Nha khoa quốc tế Daisy đều cung cấp dịch vụ này. Đầu tiên, bác sĩ sẽ thăm khám tổng quát để kiểm tra tình trạng răng miệng và mức độ vôi răng của bạn.
Sau khi xác định tình trạng răng, bác sĩ sẽ tiến hành sát khuẩn, và nếu cần, gây tê tại chỗ để bạn không cảm thấy đau đớn. Quy trình lấy cao răng chủ yếu sử dụng sóng siêu âm với các đầu lấy cao siêu âm, giúp tách lớp vôi bám mà không làm tổn hại đến men răng.
Sau khi hoàn tất, bạn sẽ được làm bóng mặt răng để tăng cường độ sáng bóng. Cuối cùng, bác sĩ sẽ kiểm tra kết quả và tư vấn cho bạn các biện pháp chăm sóc răng miệng sau khi lấy cao răng. Đừng quên rằng việc duy trì vệ sinh răng miệng và thăm khám định kỳ là rất cần thiết để giữ cho hàm răng luôn khỏe mạnh!

Lấy cao răng tại Cần Thơ đang trở thành một dịch vụ quan trọng để bảo vệ sức khỏe răng miệng. Khi thực hiện cạo vôi răng tại Bệnh Viện Răng Hàm Mặt Cần Thơ, bạn sẽ hoàn toàn yên tâm về chất lượng dịch vụ. Quy trình an toàn, không làm tổn thương nướu lợi hay cấu trúc răng miệng.
Việc lấy cao răng không chỉ giúp làm sạch, mà còn ngăn ngừa các bệnh về răng miệng. Sau khi cạo vôi, nhiều người có thể cảm thấy răng hơi ê buốt trong một thời gian ngắn, nhưng đây là phản ứng bình thường và sẽ nhanh chóng biến mất sau 1-2 ngày. Đặc biệt, bạn nên tránh các thực phẩm quá nóng hoặc quá lạnh để không ảnh hưởng tới men răng.
Đến với Nha Khoa Lâm Gia hoặc ST DENTIST, bạn sẽ được trải nghiệm những dịch vụ chất lượng, hiện đại và uy tín. Khách hàng không chỉ được làm đẹp cho hàm răng, mà còn có những nụ cười rạng rỡ và tự tin hơn. Hãy chăm sóc cho răng miệng của mình ngay hôm nay!

Nếu bạn đang tìm kiếm địa chỉ uy tín để lấy cao răng ở Cần Thơ, có nhiều lựa chọn chất lượng mà bạn có thể tham khảo. Đầu tiên, Bệnh viện Răng Hàm Mặt Cần Thơ và Nha Khoa Ninh Kiều là hai cơ sở hàng đầu được nhiều người dân tin tưởng, với đội ngũ bác sĩ giàu kinh nghiệm và trang thiết bị hiện đại.
Ngoài ra, Nha Khoa Lâm Gia cũng là một gợi ý không thể bỏ qua. Phòng khám này nổi tiếng với dịch vụ cạo vôi răng chuyên nghiệp và tận tâm. Nếu bạn muốn trải nghiệm dịch vụ cao cấp hơn, Nha Khoa Quốc tế Daisy và Nha Khoa quốc tế Việt Pháp đều mang đến dịch vụ chăm sóc chu đáo và công nghệ tiên tiến.
Đối với những ai yêu cầu sự chuyên nghiệp và an toàn, Nha khoa APEX và Nha Khoa Tâm Đức Smile cũng rất được khuyến nghị. Họ cung cấp dịch vụ cao cấp như tẩy trắng răng và niềng răng, đảm bảo hài lòng cho khách hàng.
Hãy nhớ rằng, việc chọn lựa một nha khoa uy tín là điều cần thiết để duy trì sức khỏe răng miệng tốt nhất.

Kết luận, việc lấy cao răng tại Cần Thơ không chỉ giúp cải thiện sức khoẻ răng miệng mà còn mang lại sự tự tin cho mỗi người. Quy trình chuyên nghiệp và sự hỗ trợ tận tình từ các bác sĩ tại đây góp phần đảm bảo hiệu quả và an toàn. Đồng thời, việc duy trì thói quen chăm sóc răng miệng đều đặn sau khi lấy cao răng là vô cùng cần thiết để ngăn ngừa tình trạng tái phát. Hy vọng, với những thông tin hữu ích trên, bạn sẽ có thêm động lực để chăm sóc sức khoẻ răng miệng một cách tốt nhất.