Physical Address
304 North Cardinal St.
Dorchester Center, MA 02124
Physical Address
304 North Cardinal St.
Dorchester Center, MA 02124

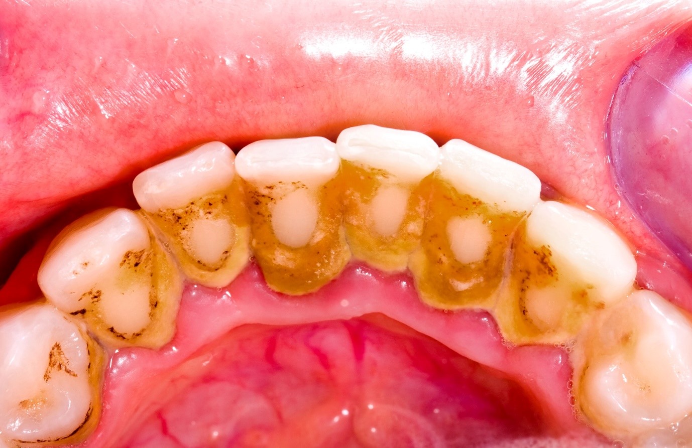
Cao răng không chỉ gây mất thẩm mỹ mà còn là nguyên nhân tiềm ẩn của nhiều bệnh lý răng miệng nguy hiểm. Chính vì vậy, việc lấy cao răng định kỳ là điều cần thiết để bảo vệ sức khỏe răng miệng. Tại Vũng Tàu, nhu cầu tìm kiếm địa chỉ lấy cao răng uy tín, an toàn ngày càng tăng cao. Trong bài viết này, chúng tôi sẽ giúp bạn tổng hợp thông tin về các phòng khám, nha khoa lấy cao răng chất lượng ở Vũng Tàu, quy trình thực hiện, giá cả, cũng như kinh nghiệm hữu ích để bảo vệ hàm răng luôn sáng khỏe.
Nếu bạn sống ở Vũng Tàu và đang tìm kiếm một địa chỉ uy tín để lấy cao răng, bạn có thể tham khảo bảng giá dịch vụ tại các phòng khám nha khoa địa phương. Giá cạo vôi răng thường dao động từ 200.000 VNĐ cho cấp độ I và 300.000 VNĐ cho cấp độ II.
Một số cơ sở nha khoa nổi bật như Nha khoa Hoa Sứ, Nha khoa Tâm Đức Smile và Nha khoa Nhân Đức đều được đánh giá cao bởi dịch vụ và chất lượng. Đặc biệt, Nha khoa Marina tại 244 Trương Công Định cũng là một địa chỉ đáng tin cậy với đội ngũ bác sĩ chuyên nghiệp.
Khi cạo vôi răng, quy trình chăm sóc cũng rất quan trọng. Bạn nên chải răng với bàn chải nghiêng 45 độ về phía nướu và chải từ nướu ra mặt nhai khoảng 6 đến 8 lần. Việc này không chỉ giúp làm sạch mà còn bảo vệ sức khỏe răng miệng.
Hãy nhớ rằng, việc lấy cao răng định kỳ không chỉ giúp bạn có hàm răng sáng khỏe mà còn ngăn ngừa các bệnh lý về nướu. Bạn sẽ cảm thấy tự tin hơn khi nụ cười của mình luôn rạng rỡ.

Vũng Tàu là nơi tập trung nhiều phòng khám nha khoa chất lượng, trong đó phải kể đến Nha khoa Hoa Sứ, Nha khoa Tâm Đức Smile, và Nha khoa Kim. Những địa chỉ này không chỉ nổi tiếng với dịch vụ lấy cao răng mà còn cung cấp nhiều dịch vụ nha khoa khác như tẩy trắng răng, bọc răng sứ, và cấy ghép Implant.
Một điểm đáng chú ý là Nha khoa Vạn Thành, với 7 cơ sở trải đều từ Đồng Nai đến Vũng Tàu. Khách hàng khi đến đây luôn cảm thấy hài lòng với dịch vụ cạo vôi răng hiện đại. Công nghệ cạo vôi răng bằng máy siêu âm giúp quá trình này trở nên nhanh chóng và ít đau đớn hơn.
Các phòng khám như Nha khoa Quốc Bình và Nha khoa Việt Nga cũng được khách hàng đánh giá cao về chất lượng dịch vụ và giá cả hợp lý. Với mức giá cạo vôi răng giao động từ 200.000 đến 1.500.000 đồng, bạn có thể dễ dàng lựa chọn dịch vụ phù hợp với nhu cầu và ngân sách của mình.

Nếu bạn đang tìm kiếm một địa chỉ nha khoa uy tín tại Vũng Tàu để chăm sóc sức khỏe răng miệng, có rất nhiều lựa chọn chất lượng. Nha Khoa Vạn Thành được biết đến với đội ngũ bác sĩ dày dạn kinh nghiệm và trang thiết bị hiện đại, cung cấp đầy đủ các dịch vụ từ điều trị đến thẩm mỹ.
Nha khoa Hoa Sứ cũng là một cái tên không thể bỏ qua. Với nhiều năm hoạt động, nơi đây đã xây dựng được lòng tin từ khách hàng qua các dịch vụ chuyên nghiệp và sự tận tâm của đội ngũ nhân viên. Hơn nữa, Nha Khoa Tâm Đức Smile nổi bật với các phương pháp niềng răng hiện đại như Invisalign, giúp mọi người dễ dàng có được nụ cười hoàn hảo mà không phải lo lắng.
Ngoài ra, Nha Khoa Kim và Nha khoa Quốc Bình cũng là những địa chỉ đáng tin cậy với nhiều dịch vụ đa dạng. Tất cả các phòng khám này đều cam kết mang đến sự hài lòng cho khách hàng, không chỉ về chất lượng dịch vụ mà còn về sự thoải mái trong quá trình điều trị.

Nếu bạn đang tìm kiếm địa chỉ lấy cao răng tại Vũng Tàu, thì có khá nhiều lựa chọn phù hợp cho bạn. Nha khoa Hoa Sứ, với hai cơ sở chính nằm trên đường Nguyễn Văn Trỗi, cung cấp dịch vụ cạo vôi răng chuyên nghiệp và tận tình. Đồng thời, Nha khoa Tâm Đức Smile cũng là một địa chỉ đáng tin cậy với đa dạng dịch vụ chăm sóc răng miệng.
Ngoài ra, Nha khoa Quốc Bình và Nha khoa Kim cũng mang đến những dịch vụ chất lượng, đặc biệt trong việc cạo vôi răng với mức giá hợp lý. Nhà thuốc Nha khoa Việt Nga với bảng giá rõ ràng, chào đón bạn với dịch vụ cạo vôi răng cấp độ I chỉ từ 190.000 đồng.
Bên cạnh đó, Nha khoa Vạn Thành không chỉ là một trong những cơ sở đã hoạt động lâu năm mà còn có hệ thống phủ rộng khắp, giúp khách hàng dễ dàng tiếp cận. Bạn cũng có thể tham khảo Nha khoa Marina, nơi có quy trình cạo vôi răng hiện đại và không gây đau đớn. Với sự chuyên nghiệp và lòng tận tâm, các địa chỉ này chắc chắn sẽ giúp bạn có được hàm răng khỏe mạnh và tự tin hơn.

Dịch vụ lấy cao răng tại Vũng Tàu đang ngày càng được nhiều người quan tâm, đặc biệt tại Nha khoa Việt Nga. Với mức giá hợp lý, chỉ từ 380.000 VNĐ cho dịch vụ cạo vôi răng cấp độ III, nơi đây cam kết mang đến cho khách hàng những trải nghiệm chăm sóc răng miệng tốt nhất.
Ngoài cạo vôi, Nha khoa Việt Nga còn cung cấp nhiều dịch vụ khác như điều trị nha chu, trám răng thẩm mỹ hay tẩy trắng răng. Điều này không chỉ giúp làm sạch răng miệng mà còn nâng cao tính thẩm mỹ cho hàm răng của bạn. Đội ngũ bác sĩ tận tâm và giàu kinh nghiệm sẽ tư vấn cụ thể và giúp bạn lựa chọn dịch vụ phù hợp nhất.
Bên cạnh đó, Nha Khoa Tâm Đức Smile cũng là một địa chỉ đáng tin cậy với nhiều dịch vụ chất lượng như cấy ghép Implant và niềng răng. Hãy chăm sóc sức khỏe răng miệng của bạn và tận hưởng một nụ cười tự tin với dịch vụ tại các nha khoa Vũng Tàu!

Nếu bạn đang tìm kiếm dịch vụ lấy cao răng tại Vũng Tàu, bạn sẽ thấy rằng giá cả rất đa dạng và hợp lý. Tại đây, giá lấy cao răng thường dao động từ 100.000 đến 700.000 VNĐ, tùy thuộc vào tình trạng cao răng và địa chỉ nha khoa mà bạn chọn. Đặc biệt, với công nghệ hiện đại, bạn có thể lựa chọn dịch vụ lấy cao răng bằng công nghệ thổi cát với mức giá khoảng 600.000 VNĐ.
Ngoài ra, nếu bạn gặp vấn đề về răng miệng, dịch vụ điều trị tủy cũng rất phổ biến. Giá cho điều trị tủy một chân chỉ khoảng 700.000 VNĐ, trong khi điều trị tủy hai chân và ba chân có giá là 900.000 VNĐ. Với mức giá này, bạn hoàn toàn có thể yên tâm về chất lượng dịch vụ.
Các vấn đề khác như cạo vôi, trám răng hay niềng răng cũng có mức giá rất cạnh tranh. Chẳng hạn, cạo vôi răng chỉ từ 200.000 đến 300.000 VNĐ cho một lần thực hiện. Thật dễ dàng để tìm kiếm giải pháp cho sức khỏe răng miệng của bạn tại Vũng Tàu với các dịch vụ nha khoa phong phú và giá cả phải chăng.

Quy trình lấy cao răng ở Vũng Tàu được thực hiện một cách tỉ mỉ và cẩn thận, nhằm đảm bảo sự thoải mái cho khách hàng. Đầu tiên, bác sĩ sẽ thăm khám và tư vấn về tình trạng răng miệng của bạn. Đây là bước quan trọng để xác định rõ tình trạng và đưa ra phương pháp điều trị phù hợp.
Tiếp theo, các công đoạn làm sạch và sát trùng được thực hiện kỹ lưỡng. Việc này không chỉ giúp đảm bảo an toàn mà còn tạo cảm giác thoải mái cho bạn trong suốt quá trình. Tại các nha khoa như Nha khoa Tâm Đức Smile, quy trình lấy cao răng bằng máy siêu âm hiện đại chỉ mất khoảng 15-30 phút và không gây đau.
Ngoài ra, nha khoa Sing cung cấp dịch vụ với giá 300.000VNĐ cho toàn bộ quy trình, bao gồm khám tổng quát và lấy cao răng. Sau khi hoàn thành, bác sĩ sẽ hướng dẫn bạn cách chăm sóc răng miệng tại nhà để duy trì sức khỏe răng miệng tốt nhất. Như vậy, việc lấy cao răng không chỉ giúp bảo vệ sức khỏe mà còn mang lại nụ cười tự tin cho bạn.

Nếu bạn đang tìm kiếm địa chỉ lấy cao răng uy tín tại Vũng Tàu, Nha khoa Việt Nga là một trong những lựa chọn hàng đầu. Với công nghệ tiên tiến, nơi đây giúp khách hàng khắc phục hiệu quả các vấn đề về hàm răng. Tại Nha khoa Việt Nga, đội ngũ bác sĩ chuyên nghiệp và giàu kinh nghiệm sẽ đảm bảo quá trình điều trị diễn ra an toàn và hiệu quả.
Ngoài ra, Nha khoa Vạn Thành cũng là một địa chỉ đáng chú ý. Với trụ sở tọa lạc tại 89B Nguyễn Văn Trỗi, nơi đây cung cấp đa dạng dịch vụ từ nha khoa điều trị đến nha khoa thẩm mỹ, phục vụ cho mọi nhu cầu của khách hàng. Đặc biệt, bạn có thể yên tâm với bảng giá công khai và hợp lý.
Một gợi ý khác là Nha khoa Marina với địa chỉ 244 Trương Công Định. Nơi đây cung cấp dịch vụ lấy cao răng và nhiều liệu trình chăm sóc răng miệng khác nhau. Với cam kết về chất lượng và sự hài lòng của khách hàng, bạn sẽ không phải lo lắng khi thực hiện các dịch vụ tại đây.

Nếu bạn đang tìm kiếm dịch vụ lấy cao răng tại Vũng Tàu, có nhiều lựa chọn đáng chú ý với đội ngũ bác sĩ chuyên môn và trang thiết bị hiện đại. Một trong số đó là Nha khoa Sunshine, nơi quy trình lấy cao răng được thực hiện bởi các bác sĩ dày dạn kinh nghiệm và có sự đảm bảo an toàn cao.
Ngoài ra, Nha khoa Marina nổi tiếng với chất lượng chuyên môn vượt trội. Đội ngũ nhân viên ở đây đều được đào tạo bài bản, sẵn sàng mang lại trải nghiệm chăm sóc răng miệng tốt nhất. Địa chỉ của họ rất dễ tìm, nằm tại 244 Trương Công Định, Phường 3.
Nếu bạn đang tìm kiếm mức giá hợp lý, Nha Khoa Sing có giá cả phải chăng cho dịch vụ lấy cao răng, chỉ 300.000 VNĐ cho toàn bộ quy trình bao gồm khám tổng quát và tư vấn. Họ cam kết mang lại dịch vụ chất lượng cao nhưng vẫn rất tiết kiệm cho khách hàng.
Cuối cùng, Nha Khoa Việt Nga và Nha Khoa Tâm Đức Smile cũng là những địa chỉ uy tín mà bạn không nên bỏ qua. Với đa dạng dịch vụ từ niềng răng, bọc sứ đến cấy ghép Implant, chắc chắn bạn sẽ tìm thấy giải pháp phù hợp với nhu cầu của mình.

Việc cạo vôi răng định kỳ tại Vũng Tàu không chỉ đơn thuần là một dịch vụ nha khoa mà còn mang lại nhiều lợi ích cho sức khỏe răng miệng của bạn. Nha khoa Vạn Thành, với đội ngũ bác sĩ chuyên nghiệp và trang thiết bị hiện đại, giúp loại bỏ mảng bám và cao răng, từ đó tạo ra một môi trường khoang miệng sạch sẽ và dễ chịu.
Một trong những lợi ích rõ rệt nhất của việc lấy cao răng là phòng ngừa các bệnh lý răng miệng phổ biến như viêm nha chu, hôi miệng. Khi các mảng bám được loại bỏ, bạn sẽ cảm nhận được sự khác biệt rõ rệt; hơi thở tươi mát hơn và cảm giác sạch sẽ trong khoang miệng sẽ giúp bạn tự tin hơn khi giao tiếp.
Đặc biệt, bác sĩ Lý Văn Cương khuyến cáo rằng việc lấy cao răng nên được thực hiện khoảng 6 tháng một lần. Điều này không chỉ giúp tăng cường sức khỏe răng miệng mà còn hỗ trợ hoạt động ăn nhai hiệu quả. Kết quả là bạn có một nụ cười sáng bóng và khỏe mạnh, góp phần cải thiện chất lượng cuộc sống hàng ngày.

Trong bối cảnh sức khỏe răng miệng ngày càng được chú trọng, việc lấy cao răng tại Vũng Tàu không chỉ đơn thuần là một dịch vụ nha khoa mà còn là một phần quan trọng trong việc duy trì một nụ cười khỏe đẹp. Với đội ngũ bác sĩ giàu kinh nghiệm, trang thiết bị hiện đại cùng với phương pháp điều trị an toàn, người dân và du khách tại Vũng Tàu hoàn toàn có thể yên tâm khi lựa chọn nơi đây để chăm sóc sức khỏe răng miệng. Hãy nhớ rằng, việc lấy cao răng định kỳ sẽ giúp bạn ngăn ngừa nhiều bệnh lý về răng miệng, đảm bảo một sức khỏe tốt và một nụ cười tự tin hàng ngày.