Physical Address
304 North Cardinal St.
Dorchester Center, MA 02124
Physical Address
304 North Cardinal St.
Dorchester Center, MA 02124

U gan đa ổ là một trong những bệnh lý nghiêm trọng liên quan đến gan, ảnh hưởng đến sức khỏe và chất lượng cuộc sống của người bệnh. Đây là tình trạng gan xuất hiện nhiều khối u cùng lúc, gây ra những rối loạn chức năng gan đáng kể. Nếu không được phát hiện và điều trị kịp thời, u gan đa ổ có thể dẫn đến các biến chứng nguy hiểm, thậm chí đe dọa tính mạng. Trong bài viết này, chúng ta sẽ cùng tìm hiểu chi tiết về u gan đa ổ, các triệu chứng, nguyên nhân, mức độ nguy hiểm, phương pháp chẩn đoán, điều trị và biện pháp phòng ngừa hiệu quả.
U gan đa ổ là một tình trạng nghiêm trọng khi trong gan xuất hiện nhiều khối u cùng một lúc, với hơn hai ổ u rải rác khắp gan. Những khối u này có thể có kích thước và hình dạng khác nhau, gây khó khăn trong việc chẩn đoán và điều trị. Phần lớn bệnh nhân mắc phải tình trạng này thường cảm thấy lo lắng về sức khỏe của mình.
Khi được chẩn đoán u gan đa ổ, bệnh nhân có thể đối mặt với những rủi ro cao hơn, đặc biệt là nếu các khối u này là ác tính. Ung thư biểu mô tế bào gan (HCC) thường liên quan đến người mắc xơ gan, và bệnh này thường xảy ra ở những vùng có tỷ lệ nhiễm vi rút viêm gan B và C cao. Trong khi đó, khối u gan lành tính như u tuyến hoặc u mỡ lại ít nguy hiểm hơn nhưng vẫn cần được theo dõi chặt chẽ.
Điều quan trọng là người bệnh nên thường xuyên kiểm tra sức khỏe và có lối sống lành mạnh để giảm thiểu nguy cơ mắc bệnh. Nếu có những triệu chứng bất thường, hãy nhanh chóng tìm đến cơ sở y tế để được tư vấn và điều trị kịp thời. U gan đa ổ, nếu không được phát hiện và xử lý sớm, có thể dẫn đến những hậu quả nghiêm trọng.

U gan đa ổ là tình trạng xuất hiện nhiều khối u trong gan, có thể là hai ổ u trở lên, cùng lúc. Khối u có thể ở nhiều kích thước và hình dạng khác nhau, dễ dàng lan rộng ra khắp gan. Thông thường, triệu chứng của bệnh không biểu hiện rõ ràng, bệnh nhân thường chỉ phát hiện khi đi khám sức khỏe định kỳ.
Một số triệu chứng điển hình bao gồm cơ thể cảm thấy suy kiệt và mệt mỏi. Người bệnh có thể thấy mình sụt cân, thường xuyên có cảm giác chán ăn. Vàng da và vàng mắt cũng là những dấu hiệu cảnh báo, đặc biệt nếu có tình trạng tắc mật. Ngoài ra, trạng thái tâm lý của người bệnh cũng có thể bị ảnh hưởng, dẫn đến suy giảm trí nhớ, lo âu, dễ cáu giận và có thể là mê sảng.
Nếu bệnh chuyển biến nặng, có thể xuất hiện các cơn đau bụng dữ dội phía bên phải, gây khó chịu cho người bệnh. Rối loạn tiêu hóa cũng là triệu chứng phổ biến, khiến cho việc ăn uống trở nên khó khăn hơn. Việc nhận biết sớm các triệu chứng này rất quan trọng để có thể điều trị kịp thời, bảo vệ sức khỏe gan.

U gan đa ổ là tình trạng rất nguy hiểm, xảy ra khi trong gan xuất hiện nhiều khối u cùng một lúc. Những khối u này có thể có hình dạng và kích thước khác nhau, đồng thời dễ dàng lan rộng ra khắp gan. Một trong những nguyên nhân chính gây ra tình trạng này chính là viêm gan mãn tính do virus viêm gan B và C. Khi virus tấn công gan trong thời gian dài, nó không chỉ gây viêm mà còn dẫn đến tổn thương mô gan, tạo điều kiện cho sự hình thành của các khối u.
Ngoài ra, u gan đa ổ thường xuất hiện ở những người có gan đã bị xơ hoặc đã bị tổn thương chức năng. Khi gan yếu đi, sức đề kháng cũng giảm, tạo điều kiện thuận lợi cho sự phát triển của các tế bào ung thư. U gan cũng có hai loại chính: u lành tính và u ác tính, trong đó u ác tính là loại nguy hiểm hơn, có khả năng di căn sang các cơ quan lân cận như dạ dày hay đại tràng.
Điều đáng lo ngại là những khối u này có thể gây ra biến chứng không nhỏ, như tổn thương các cơ quan lân cận hoặc hẹp đường mật. Nếu không được phát hiện và điều trị kịp thời, tình trạng này có thể dẫn đến di căn và làm giảm đáng kể chất lượng cuộc sống của người bệnh.

U gan đa ổ là một bệnh lý khá nghiêm trọng mà nhiều người có thể gặp phải. Đặc biệt, nếu các khối u này là ác tính, sự phát triển của chúng sẽ rất nhanh chóng và khó kiểm soát. Điều này không chỉ đe dọa đến sức khỏe mà còn ảnh hưởng nghiêm trọng đến sự sống còn của người bệnh.
Tuy nhiên, không phải tất cả các khối u gan đều nguy hiểm. Phần lớn u gan lành tính thường không gây ra triệu chứng rõ rệt và ít khi đe dọa đến tính mạng. Mặc dù vậy, nếu các khối u này phát triển lớn, chúng có thể chèn ép các cơ quan lân cận, gây khó chịu cho người bệnh.
U gan đa ổ thường không có biểu hiện rõ ràng ở giai đoạn đầu, điều này khiến cho việc phát hiện bệnh trở nên khó khăn. Vì vậy, việc khám sức khỏe định kỳ là cực kỳ quan trọng để có thể phát hiện sớm và điều trị kịp thời. Nếu bạn cảm thấy có điều gì bất thường, đừng ngần ngại tìm kiếm sự tư vấn từ bác sĩ để được hỗ trợ tốt nhất.

U gan đa ổ là tình trạng gan xuất hiện nhiều khối u cùng lúc, mỗi khối u có hình dạng và kích thước khác nhau. Triệu chứng điển hình của bệnh thường thấy là cơ thể suy kiệt, mệt mỏi, vàng da, vàng mắt, và sụt cân nhanh chóng, khiến người bệnh trở nên hốc hác hơn.
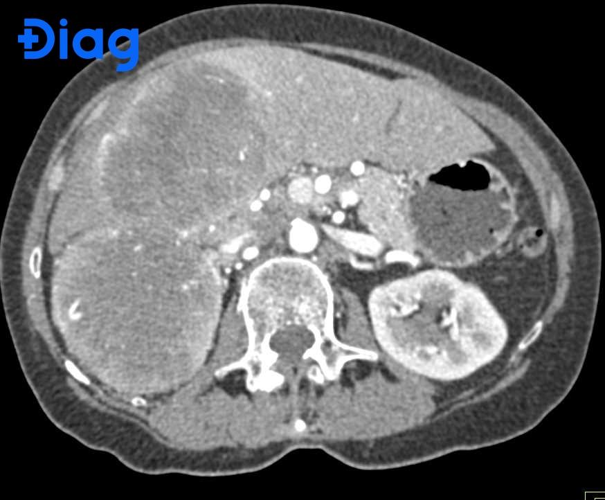
Để chẩn đoán u gan đa ổ, bác sĩ thường bắt đầu bằng các xét nghiệm máu, đặc biệt là với nồng độ AFP, vì khi nồng độ này cao có thể gợi ý tới ung thư gan. Siêu âm ổ bụng là kỹ thuật cận lâm sàng đầu tiên giúp khảo sát tình trạng gan, tiếp theo có thể là chụp cắt lớp vi tính (CT) hoặc chụp cộng hưởng từ (MRI) để xác định rõ hơn về các khối u.
Ngoài việc xác định tính chất lành tính hay ác tính của khối u, chẩn đoán cũng cần đánh giá chức năng gan thông qua các xét nghiệm liên quan. Việc hiểu rõ về tình trạng gan sẽ giúp bác sĩ quyết định phương pháp điều trị hiệu quả nhất, có thể bao gồm phẫu thuật, hóa trị hay phương pháp đốt khối u bằng sóng cao tần.

U gan đa ổ là một tình trạng phức tạp và khó khăn trong việc điều trị. Khi bệnh nhân mới mắc ở giai đoạn đầu, bác sĩ thường chỉ định sử dụng phương pháp đốt khối u bằng sóng cao tần. Đây là một trong những phương pháp hiệu quả giúp giảm kích thước khối u, từ đó làm giảm cơn đau và cải thiện chất lượng cuộc sống cho bệnh nhân.
Tuy nhiên, việc điều trị đau cũng rất quan trọng. Ban đầu, việc giảm đau có thể mới chỉ cần sử dụng thuốc giảm đau bậc 2, nhưng nếu cơn đau không thuyên giảm, có thể cần tăng lên bậc cao hơn với Morphin hoặc Fentanyl. Sự thay đổi trong liệu trình điều trị đau cũng phản ánh sự cần thiết trong việc quản lý tình trạng không chỉ về thể chất mà còn về tinh thần của bệnh nhân.
Ngoài ra, điều trị u gan còn bao gồm nhiều phương pháp khác như phẫu thuật, hóa trị, hoặc điều trị nhắm trúng đích. Việc lựa chọn phương pháp phù hợp phụ thuộc vào nhiều yếu tố, bao gồm giai đoạn bệnh và tình trạng chức năng gan của bệnh nhân. Các xét nghiệm như AFP, AFP-L3 và PIVKA II rất cần thiết để đánh giá tình hình và theo dõi sự tái phát của bệnh. Việc hiểu rõ từng phương pháp sẽ giúp bệnh nhân và gia đình sẵn sàng hơn trong cuộc chiến với căn bệnh này.

U gan đa ổ là một tình trạng nghiêm trọng, khi mà gan xuất hiện nhiều khối u cùng lúc với kích thước và hình dạng khác nhau. Để phòng ngừa bệnh này, có một số biện pháp đơn giản nhưng mang lại hiệu quả cao. Đầu tiên, việc tiêm vắc xin phòng viêm gan siêu vi là rất quan trọng. Điều này giúp bảo vệ gan khỏi những tác nhân gây bệnh.
Ngoài ra, kiểm soát các bệnh lý về gan cũng là một yếu tố then chốt. Khi được phát hiện ở giai đoạn đầu, bác sĩ có thể chỉ định điều trị bằng cách đốt khối u bằng sóng cao tần, giúp cải thiện tình trạng bệnh. Khám sức khỏe định kỳ là rất cần thiết để phát hiện sớm và điều trị kịp thời.
Chế độ dinh dưỡng hợp lý cũng đóng vai trò quan trọng. Hạn chế rượu bia và thuốc lá sẽ giúp giảm thiểu nguy cơ mắc các bệnh về gan. Bên cạnh đó, việc tiêu thụ nhiều trái cây và rau quả tươi không chỉ cung cấp vitamin mà còn tăng cường hệ miễn dịch, giúp bảo vệ sức khỏe gan tốt hơn. Hãy luôn sống tích cực và chăm sóc gan của bạn thật tốt!

U Gan Đa Ổ, hay còn gọi là u gan đa ổ, là tình trạng mà nhiều khối u xuất hiện trong gan, thường liên quan đến những bệnh lý nghiêm trọng và cần được chẩn đoán chính xác. Việc phát hiện sớm và điều trị kịp thời u gan đa ổ có thể giúp cải thiện đáng kể tiên lượng bệnh nhân. Đồng thời, việc nắm vững thông tin về nguyên nhân, triệu chứng và phương pháp điều trị cũng như phòng ngừa là vô cùng cần thiết. Hy vọng rằng bài viết này đã giúp bạn có cái nhìn tổng quan và hữu ích về u gan đa ổ, từ đó nâng cao nhận thức và chủ động hơn trong việc bảo vệ sức khỏe.